Current Issue

Vol. 188 No. 13
Download PDF Modal Example Archive Issues Modal Example
« Previous | Next »
122615 cover

Featured Articles in this Issue

Reviews & Previews

Science Visualized

Notebook

Features

More Stories from the December 26, 2015 issue

  1. Health & Medicine

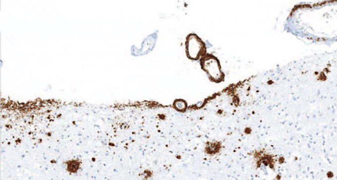
    Antibodies to fight Alzheimer’s may have unexpected consequences

    Alzheimer’s-targeted antibodies make neurons misbehave even more, a study of mice shows.

    By
  2. Health & Medicine

    When selenium is scarce, brain battles testes for it

    In competition for selenium, testes draw the nutrient away from the brain.

    By
  3. Animals

    Ponds and their toads cured of dreaded disease

    Treating both tadpoles and their ponds for infection by deadly Bd chytrid fungus lets midwife toads go wild again.

    By
  4. Planetary Science

    Glimpse of baby planet shows what to expect when a star is expecting

    A baby planet is still growing in the disk of gas that encircles a young star.

    By
  5. Health & Medicine

    Engineered vocal cords show promise in animal tests

    Lab-grown vocal cord tissue could lead the way to better treatments for people with vocal problems

    By
  6. Animals

    How to see with eyes made of rock

    Tiny mollusk eyes in chiton armor can pick up rough images.

    By
  7. Climate

    Thinning ice leads to winter warming in the Arctic

    Thinning Arctic sea ice could boost heat-trapping water vapor in the air during autumn and winter, leading to more ice loss.

    By
  8. Planetary Science

    Phobos to create ring around the Red Planet

    Mars’ moon Phobos will shatter and create a temporary ring around Mars 20 million to 40 million years from now.

    By
  9. Earth

    Don’t flip out: Earth’s magnetic poles aren’t about to switch

    Earth’s waning magnetic field is returning to its long-term average, not heading toward a catastrophic magnetic reversal, new lava analysis suggests.

    By
  10. Genetics

    Mosquitoes engineered to zap ability to carry malaria

    Researchers have created a gene drive that prevents mosquitoes from carrying malaria.

    By
  11. Physics

    Final chapter published in decades-long Gravity Probe B project

    It took more than 50 years, but an experiment testing general relativity has finally come to a close.

    By
  12. Anthropology

    People roamed tip of South America 18,500 years ago

    Stone tools, charred animal bones and fire ash found at the Monte Verde site in Chile indicate people reached South America’s southernmost territory at least 18,500 years ago.

    By
  13. Humans

    Year in review: Early human kin could shake up family tree

    From a South African cave to an East African rift valley, fossil and archaeological finds reported in 2015 added new twists to the evolution of the human genus.

    By
  14. Health & Medicine

    Year in review: Not all bodies act their age

    People grow old at different rates, but the underlying drivers of aging may be the same: molecular havoc wreaked inside of cells, scientists suggested in 2015.

    By
  15. Climate

    Year in review: Global warming continues apace

    New climate research showed that the much-discussed warming hiatus never happened, carbon dioxide levels are higher than ever and Earth is heading toward a new normal.

    By
  16. Science & Society

    Year in review: Scientists tackle the irreproducibility problem

    In 2015, several research groups reported the extent to which experimental results don't hold up to replication.

    By
  17. Planetary Science

    Year in review: Global ocean spans Enceladus

    NASA's Cassini spacecraft is offering the best evidence yet that Saturn's moon Enceladus could be a great place to search for extraterrestrial life.

    By
  18. Life

    Year in review: Microbe discoveries spur rethink of treetop of life

    Microbes discovered in Arctic mud this year could be the closest relatives yet found to the single-celled ancestor that made life so complicated.

    By
  19. Quantum Physics

    Year in review: Quantum spookiness is real

    A new version of an experiment proposed in 1964 confirmed a counterintuitive tenet of quantum mechanics.

    By
  20. Genetics

    Year in review: Epigenome makes its debut

    The Roadmap Epigenomics Project, unveiled in February 2015, is the first in a series of 3-D looks at the human genome.

    By
  21. Physics

    Year in review: Big stride for superconductivity

    Compelling but not quite confirmed research in 2015 suggested that hydrogen sulfide is a superconductor at temperatures as high as 203 kelvins.

    By
  22. Neuroscience

    Year in review: Alzheimer’s protein behaves like a prion

    Under rare conditions, an Alzheimer’s-related protein may have jumped between people, scientists reported this year.

    By
  23. Planetary Science

    Year in review: Best evidence yet for water on Mars

    New data from the Mars Reconaissance Orbiter supported the presence of salty water on Mars.

    By
  24. Earth

    Year in review: Pacific Plate slides over slick layer

    Some explosive science offered a glimpse into how tectonic plates slide around Earth’s surface.

    By
  25. Genetics

    Year in review: Cancer genetics grows up

    Researchers looking for mutations linked to cancer have found that not all genetic alterations should be targeted equally.

    By
  26. Particle Physics

    Year in review: Collider creates pentaquarks

    Two particles discovered in 2015 are each composed of five quarks.

    By
  27. Neuroscience

    Year in review: ‘Speed cells’ help make navigation possible

    The discovery of speed cells in the brain filled in a missing piece in the understanding of how the brain creates an internal map of the world.

    By
  28. Animals

    Year in review: Woes of artificial lighting add up for wildlife

    Studies published this year add dodging death, flirting and mothering to the tasks that artificial light can discombobulate in wild animals.

    By
  29. Environment

    Year in review: BPA alternatives aren’t benign

    Evidence is accumulating that at least one popular alternative to bisphenol A can enter the body and trigger developmental and physiological changes.

    By
  30. Animals

    Year in review: New dates, place proposed for dogs’ beginnings

    This year’s dog research suggested older origins and a new location of domestication for man's best friend.

    By
  31. Humans

    Year in review: Native Americans are Kennewick kin

    Ancient DNA identified 8,500-year-old Kennewick Man as a Native American relative.

    By
  32. Genetics

    Year in review: Fluke extinction surprises lab

    A die-off of bacteria in a carefully controlled lab experiment offered an evolutionary lesson this year: Survival depends not only on fitness but also on luck.

    By
  33. Neuroscience

    Year in review: Gaps in brain nets might store memories

    Holes in nets that surround nerve cells may store long-term memories, scientists proposed this year.

    By
  34. Math

    Year in review: New algorithm quickly spots identical networks

    In what may be a once-in-a-decade advance, a computer scientist claimed to have devised an algorithm that efficiently solves the notorious graph isomorphism problem.

    By
  35. Health & Medicine

    Year in review: Ebola vaccines on the way

    After more than a year of furiously developing and testing potential Ebola vaccines, two candidates have risen to the top and may soon be available for use.

    By
  36. Paleontology

    12 amazing fossil finds of 2015

    From an ancient sponge ancestor to the Carolina Butcher, scientists learned a lot about life on Earth this year.

    By
  37. Astronomy

    Astronomical milestones of 2015

    The New Horizons mission to Pluto was the No. 1 science story of the year. Here some other notable space missions.

    By
  38. Science & Society

    These truisms proved false in 2015

    Don’t always believe what you hear. These truisms turned out to be false in 2015.

    By
  39. Science & Society

    Science puzzles no longer so puzzling

    This year, researchers solved the riddle of mysterious radio bursts, the Erdös discrepancy problem and an elusive acid.

    By
  40. Genetics

    Human gene editing research gets green light

    Gene editing research can move forward, but not for reproductive purposes, international summit committee says.

    By
  41. Climate

    Fireworks brighten the sky but dampen the view

    Fireworks and other pyrotechnics severely reduce visibility during celebrations such as New Year’s Eve and Guy Fawkes Day, researchers report.

    By
  42. Science & Society

    Links between scrapie and MS less likely

    Five decades later, scientists still puzzle over what causes multiple sclerosis.

    By
  43. Animals

    Pygmy slow loris hibernates in winter

    The pygmy slow loris truly hibernates, making it the first primate found outside Madagascar to do so, a new study says.

    By
  44. Life

    DNA doubled in conifer ancestors

    The genomes of conifers — pine, cypress and yew trees — doubled twice in the distant past.

    By
  45. Tech

    Roses rigged with electrical circuits

    Bioelectric molecules can form wires and conduct electricity in cut roses, researchers find.

    By
  46. Health & Medicine

    Cow bites and spacecraft injuries enliven new medical diagnostic codes

    The 10th edition of International Classification of Diseases went into effect in 2015, and it included some interesting additions.

    By