Current Issue

Vol. 190 No. 11
Download PDF Modal Example Archive Issues Modal Example
« Previous | Next »

Reviews & Previews

Science Visualized

Notebook

Features

More Stories from the November 26, 2016 issue

  1. Archaeology

    Wild monkeys throw curve at stone-tool making’s origins

    Monkeys that make sharp-edged stones raise questions about evolution of stone tool production.

    By
  2. Neuroscience

    Mice smell, share each other’s pain

    Pain can jump from one mouse to another, presumably through chemicals detected by the nose.

    By
  3. Paleontology

    Ancient armored fish revises early history of jaws

    The fossil of a 423-million-year-old armored fish from China suggests that the jaws of all modern land vertebrates and bony fish originated in a bizarre group of animals called placoderms.

    By
  4. Life

    Virus triggers immune proteins to aid enemy

    Virus-fighting proteins in the immune system can sometimes help out their targets instead.

    By
  5. Climate

    Wanted: New ways to chill air conditioners, fridges

    A new amendment to the Montreal Protocol will phase out potent greenhouse gases currently used in air conditioners and refrigerators, prompting a hunt for eco-friendly alternatives.

    By
  6. Physics

    Physicists find atomic nucleus with a ‘bubble’ in the middle

    Silicon-34 has an unusually small number of protons in its center.

    By
  7. Neuroscience

    Frequent liars show less activity in key brain structure

    Brain activity changed as people lied more, a new study finds.

    By
  8. Genetics

    HIV came to NYC at least a decade before virus ID’d

    DNA analysis of early viral strains tracks U.S. debut to early ’70s

    By
  9. Climate

    Climate change shifts how long ants hang on to coveted real estate

    Simulated climate warming reveals a new pattern in turnover of ant nests.

    By
  10. Genetics

    Ancient hookups gave chimps a smidge of bonobo DNA

    Genetic evidence suggests bonobos and chimpanzees interbred after becoming separate species.

    By
  11. Life

    Scientists need to redraw picture of cell’s biggest organelle

    A close-up view of the cell’s endoplasmic reticulum reveals a different structure.

    By
  12. Psychology

    Learning curve not so smooth

    Preschoolers tend to reach a milestone of social thinking after months of fits and starts.

    By
  13. Paleontology

    Early birds could achieve liftoff

    Early birds and other flying dinosaurs had the strong legs and wing speed needed to launch into the air directly from the ground, researchers argue.

    By
  14. Paleontology

    Picture of primate common ancestor coming into focus

    A new family tree analysis predicts behavior of primate common ancestor.

    By
  15. Paleontology

    First known fossilized dinosaur brain unearthed, scientists claim

    A dinosaur fossil that preserves brain tissue has been discovered for the first time, researchers announce.

    By
  16. Genetics

    Gene gives mice and chipmunks their pinstripes

    A recycled regulator paints on rodents’ light stripes.

    By
  17. Archaeology

    People settled Australia’s rugged interior surprisingly early

    Ancient colonists Down Under crossed the continent not long after arriving around 50,000 years ago.

    By
  18. Genetics

    Cancer mutation patterns differ in smokers, nonsmokers

    The DNA of smokers shows more damage than the DNA of nonsmokers who have the same kind of cancer.

    By
  19. Tech

    New technique shows cells’ molecules in color

    A new electron microscopy technique reveals cellular details in multicolor

    By
  20. Particle Physics

    Muon surplus leaves physicists searching for answers

    A glut of muons shows up in particle showers in the atmosphere.

    By
  21. Planetary Science

    X-ray mystery shrouds Pluto

    Chandra telescope detects seven X-ray photons coming from Pluto, suggesting that the solar wind runs into a tail of gas streaming from the dwarf planet.

    By
  22. Animals

    An echidna’s to-do list: Sleep. Eat. Dig up Australia.

    Short-beaked echidna’s to-do list looks good for a continent losing other digging mammals.

    By
  23. Health & Medicine

    CDC sounds alarm on STDs

    The combined reported cases of three common sexually transmitted diseases reached a historic peak in 2015, a new CDC report says.

    By
  24. Health & Medicine

    50 years ago, fluoridation was promoted as a bone protector

    In 1966, scientists hoped fluoride might protect adult bone health. While the results broke down over time, the benefits for teeth remain clear.

    By
  25. Astronomy

    Interactive map reveals hidden details of the Milky Way

    Gleamoscope, an interactive map, lets you explore the Milky Way galaxy and the nearby universe in many different electromagnetic frequencies.

    By
  26. Life

    Website turns Alzheimer’s research into a game

    A new game assists Alzheimer’s researchers in the hunt for stalled blood vessels in the brains of mice.

    By
  27. Tech

    Double-charging material makes a run in the sun extra powerful

    Textile stores energy from the sun and a person’s movements to power devices.

    By
  28. Genetics

    Genetic variant protects against rash of autoimmune diseases

    A natural tweak in the TYK2 protein strikes a balance between weak and overactive immune systems.

    By
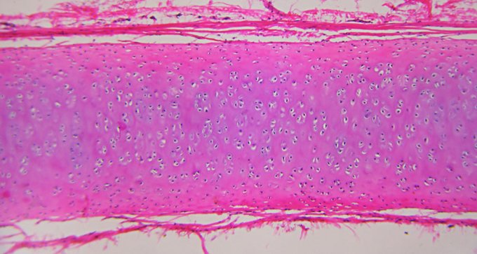
  29. Health & Medicine

    Nose cells fix knee cartilage

    A small clinical trial suggests that using nose cells to patch knee cartilage could be a viable treatment for injuries.

    By
  30. Astronomy

    Uranus moon count: 27 and rising

    Two more moons might be lurking around Uranus, causing material in the planet’s rings to clump up, Voyager 2 data suggest.

    By