Nose cells fix knee cartilage
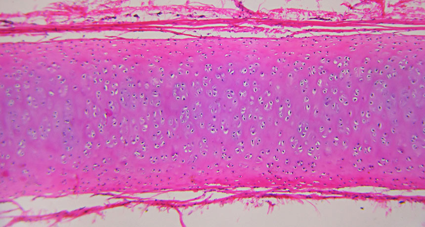
Swiss doctors took healthy tissue from people’s noses to make grafts that can function like healthy joint cartilage (shown) and use it to repair knees.
Jubal Harshaw/Shutterstock
Swiss doctors took healthy tissue from people’s noses to make grafts that can function like healthy joint cartilage (shown) and use it to repair knees.
Jubal Harshaw/Shutterstock