New tests screen for lethal prion disease

Urine and nasal swabs can reveal silent carriers of infectious proteins

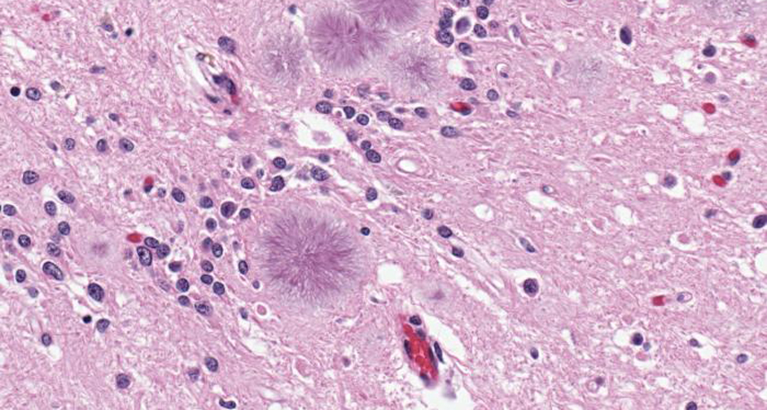
STICK TOGETHER  Contagious prion proteins in the brain spawn aggregates (fuzzy purple blobs in this micrograph) that cause Creutzfeldt-Jakob disease. For the first time, noninvasive tests can detect these fatal proteins in urine and nasal tissue. 

Sherif Zaki and Wun-Ju Shieh/CDC/Wikimedia Commons

New noninvasive tests can detect Creutzfeldt-Jakob disease and may reveal hidden carriers of the lethal neurological disorder, scientists report in the Aug.