Nsikan Akpan

Summer 2014 science writing intern

All Stories by Nsikan Akpan

  1. Life

    Flying animals can teach drones a thing or two

    Scientists have turned to Mother Nature’s most adept aerial acrobats — birds, bees, bats and other animals — to inspire their designs for self-directed drones.

  2. Life

    Fast and furious: The real lives of swallows

    In the fields of Oregon, scientists learn flight tricks from swallows.

  3. Plants

    Climbing high to save a threatened West Coast plant

    A group of scientists hopes to save a cliff-hugging plant threatened by invasive grasses, drought and fire in California’s Santa Monica Mountains.

  4. Microbes

    Vaccines and gut microbes join forces to fight flu

    Losing gut microbes weakens the protective ability of the flu vaccine in mice.

  5. Microbes

    Speedy test could improve treatment of urinary tract infections

    A new test for drug-resistant bacteria may speed the diagnosis and treatment of urinary tract infections.

  6. Microbes

    Magnets diagnose malaria in minutes

    A small magnet-based device provides faster, more-sensitive malaria diagnosis in mice.

  7. Tech

    Space tourism’s price tag rockets upward

    The “high price” of space tourism proposed in the 1960s is nowhere close to the astronomical price tag of trips today.

  8. Animals

    Bats hunt ballooning túngara frogs by echolocation

    Bat echolocation tracks the billowing vocal sacs of male túngara frogs.

  9. Health & Medicine

    Tiny mites are probably crawling all over your face

    Two skin mites, relatives of spiders, might populate the faces of all adult humans, according to a DNA survey.

  10. Animals

    New subspecies of Philippine tarsier discovered

    Genetic tests settle a taxonomic debate surrounding Philippine tarsier, one of the world’s smallest primates.

  11. Agriculture

    Killer bug behind coconut plague identified

    A pest has devastated coconuts in the Philippines, and scientists now realize the perp is not the bug they thought was causing the damage.

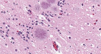
  12. Health & Medicine

    New tests screen for lethal prion disease

    Urine and nasal swabs can detect small amounts of the abnormal prions that cause Creutzfeldt-Jakob disease.