Current Issue

Vol. 193 No. 5
Download PDF Modal Example Archive Issues Modal Example
« Previous | Next »
cover of the 3/17/18 issue

Featured Articles in this Issue

Reviews & Previews

Science Visualized

Notebook

Features

More Stories from the March 17, 2018 issue

  1. Neuroscience

    The wiring for walking developed long before fish left the sea

    These strange walking fish might teach us about the evolutionary origins of our own ability to walk.

    By
  2. Health & Medicine

    The small intestine, not the liver, is the first stop for processing fructose

    In mice, fructose gets processed in the small intestine before getting to the liver.

    By
  3. Health & Medicine

    14 cattle eyeworms removed from Oregon woman’s eye

    Oregon woman has the first ever eye infection with the cattle eyeworm Thelazia gulosa.

    By
  4. Quantum Physics

    Quantum computers go silicon

    Scientists performed the first quantum algorithms in silicon, and probed quantum bits with light.

    By
  5. Health & Medicine

    Cutting off a brain enzyme reversed Alzheimer’s plaques in mice

    Inhibiting an enzyme involved in the production of Alzheimer’s protein globs also made old globs, or plaques, disappear in mouse brains.

    By
  6. Genetics

    Study debunks fishy tale of how rabbits were first tamed

    A popular tale about rabbit domestication turns out to be fiction.

    By
  7. Climate

    Look to penguins to track Antarctic changes

    Scientists say carbon and nitrogen isotopes found in penguin tissues can indicate shifts in the Antarctic environment.

    By
  8. Anthropology

    In Borneo, hunting emerges as a key threat to endangered orangutans

    Only small numbers of Bornean orangutans will survive coming decades, researchers say.

    By
  9. Chemistry

    Household products make surprisingly large contributions to air pollution

    A study of smog in the Los Angeles valley finds that paints, fragrances and other everyday items are a growing component of the problem.

    By
  10. Animals

    Strong winds send migrating seal pups on lengthier trips

    Prevailing winds can send northern fur seal pups on an epic journey.

    By
  11. Animals

    Ants practice combat triage and nurse their injured

    Termite-hunting ants have their own version of combat medicine for injured nest mates.

    By
  12. Space

    Americans would welcome alien life rather than fear it

    Americans would probably take the discovery of extraterrestrial microbes pretty well.

    By
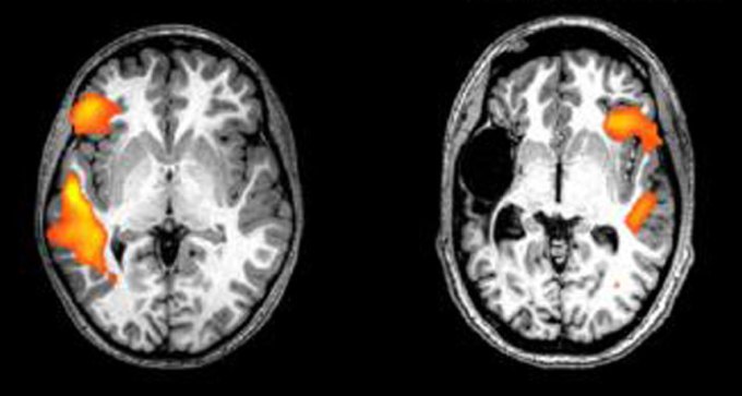
  13. Neuroscience

    Babies can recover language skills after a left-side stroke

    Very young babies who have strokes in the language centers of their brain can recover normal language function — in the other side of their brain.

    By
  14. Life

    A fake organ mimics what happens in the blink of an eye

    A newly crafted artificial eye could help researchers study treatments for dry eye disease and other ailments.

    By
  15. Particle Physics

    The quest to identify the nature of the neutrino’s alter ego is heating up

    The search is on for a rare nuclear decay that could prove neutrinos are their own antiparticles and shed light on the universe’s antimatter mystery.

    By
  16. Astronomy

    50 years ago, pulsars burst onto the scene

    Thousands of pulsars have been discovered since the announcement of their detection 50 years ago.

    By