Babies can recover language skills after a left-side stroke

MRI scans of brains of healthy and stroke patients

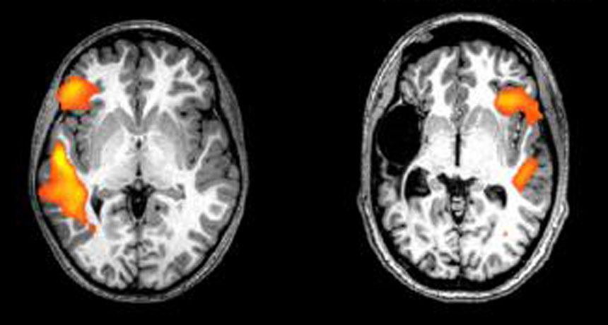
SWITCHING SIDES  These fMRI scans show the brain activity of a healthy person (left) and a stroke patient (right) while doing a language-related task. Having a stroke just before or after being born flips key language-processing areas from the left to the right side of the brain, a new study shows.

E. NEWPORT

AUSTIN, Texas — Babies’ stroke-damaged brains can pull a mirror trick to recover.