They make up one of the most often prescribed classes of pharmaceuticals. Some enthusiastic physicians call them “wonder drugs.” In recent years, these cholesterol-lowering drugs, known as statins, have revolutionized the treatment of cardiovascular disease.
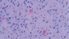
Laboratory mice consuming diets that are high in cholesterol have about twice as many amyloid deposits (pink) in their brains as mice that eat normal diets do.
Log in
Subscribers, enter your e-mail address for full access to the Science News archives and digital editions.