A run-in with Salmonella may be worse at dawn than at dusk, at least for mice.

Mice fed the nasty bacteria, a common cause of food poisoning, in the morning came down with a more severe infection than mice fed at night, researchers report May 27 in the Proceedings of the National Academy of Sciences.
“This is the first study that has infected mammals with a pathogen and seen this effect,” says Laura Roden, a molecular chronobiologist at the University of Cape Town in South Africa, who has found a similar phenomenon in plants. Other researchers have also observed clock-driven immune responses in fruit flies.
“We’ve gone from flies to plants, and now we have mammals,” she says. “This study rounds us out nicely.”
From plants to humans, all organisms use molecular timekeepers called circadian clocks to set daily rhythms. In mammals, a master clock in the brain coordinates with clocks throughout organs and tissues in the body. When human clocks get out of sync, people can suffer from jet lag and even depression (SN Online: 5/14/2013).
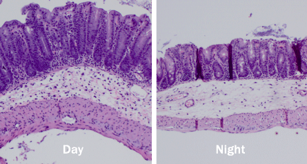
Scientists already knew that mammalian clocks set sleep hours, eating patterns and hormone cycling. To find out whether clocks also control response to infection, a team led by Manuela Raffatellu and Paolo Sassone-Corsi at the University of California, Irvine infected mice with Salmonella at either 10 a.m. or 10 p.m., and then compared signs of gut inflammation.
Mice infected at night fared much better than those infected during the day. “Some of them looked like they had never been infected,” Raffatellu says. In contrast, morning-infected mice had inflamed large intestines, clogged with throngs of bacteria-fighting immune cells.
Because mice are nocturnal, a midmorning meal for them is like a midnight snack for humans. Shaking up the animals’ normal feeding and sleeping patterns might explain the differences in illness. “When you disrupt your clock, you are more prone to possible infection,” Sassone-Corsi says.
Next, the team repeated their experiment in a mouse genetically engineered to have a broken clock. These mice have metabolic disorders and messed up sleep cycles.
No matter the time of Salmonella infection, the mice with broken clocks had similar reactions to infection, Raffatellu says. Without a working clock, mice can’t respond to Salmonella infection in quite the same way as healthy mice do.
Humans’ immune systems might also respond to pathogens differently during day and night. If they do, says neurobiologist Alec Davidson of the Morehouse School of Medicine in Atlanta, giving vaccines might be more effective at certain times of the day.
But for now, the team’s results provide the first evidence that mucking up mammals’ internal clocks might invite infections.
“I get colds all the time when I travel overseas,” says Raffatellu. Forcing yourself to stay awake when your clock says “go to bed” could be one of the reasons people get sick, she says.