Why some children may get strep throat more often than others

Tonsil tissue from kids with recurring infections have smaller key immune structures

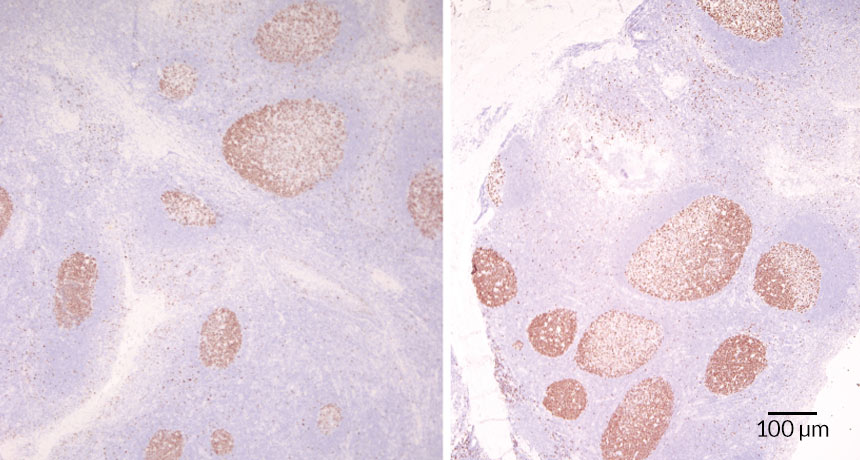
a microscopic image showing differences in immune structure in tonsils between kids with and without repeat strep throat infections

SMALLER CENTERS  Certain important immune structures (brown) in the tonsils of children who had recurrent strep throat infections (left in these microscope images) were smaller than those in tonsils from kids who hadn’t had repeat infections (right).

J.M. Dan et al/Science Translational Medicine 2019

For kids, getting strep throat again and again is a pain.