Poliovirus treatment helped patients with deadly brain tumors live longer

A modified form of the virus increased survival in some people with glioblastoma

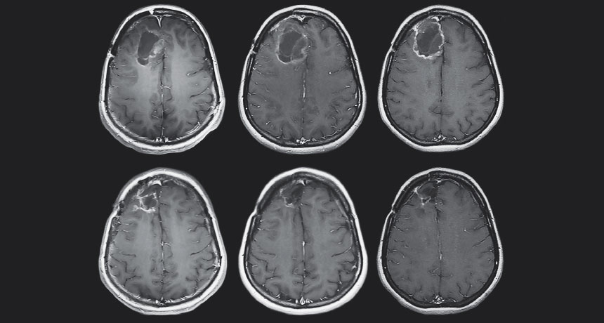
MRI images

GOING, GOING… These MRI images show a patient’s glioblastoma tumor eventually shrinking after being dosed with an altered poliovirus. The bottom row shows the tumor a year after treatment (left), at two years (middle) and at nearly five years (right).

A. Desjardins et al/New England Journal of Medicine 2018

Few treatment options are available to people facing a second battle with a particularly fatal type of brain tumor called glioblastoma. But dosing the tumor with a genetically modified poliovirus — one that doesn’t cause the eponymous, devastating disease — may give these patients more time, a small clinical study suggests.

Of 61 people with recurring glioblastoma who were treated with the modified virus, 21 percent were alive after three years. In a “historical” comparison group of 104 patients, who would have been eligible for the treatment but died before it was available, 4 percent lived as long, researchers report online June 26 in the New England Journal of Medicine.

Two patients who received the altered virus are still alive today, six years after treatment. “They’ve been able to lead largely normal lives, and we almost never see that with these brain tumors,” says neuro-oncologist and study coauthor Darell Bigner of Duke University Medical Center.

The standard treatment for glioblastoma is surgery, radiation and chemotherapy, but the cancer often recurs, Bigner says. Usually patients do not survive longer than 20 months after being diagnosed; those with a recurrence typically live less than a year. 

Poliovirus, which can cause paralysis and death, infects nerve cells through a cell surface protein that also shows up on tumor cells, including in glioblastoma. In previous work, the Duke research team swapped out the genetic machinery that allows the virus to commandeer and destroy nerve cells with a part from human rhinovirus, the common cold culprit. But this change did not prevent the poliovirus from killing tumor cells. The treatment also triggers the immune system to target the brain tumors.

In the new study, the team delivered a single dose of the virus to patients, infused over 6.5 hours through a small tube traversing the skull and directly into the tumor. None of the patients who received the revamped virus developed symptoms related to polio.

Both people who have survived for six years developed glioblastoma again, but were successfully treated a second time with the altered poliovirus. “There doesn’t seem to be any resistance to re-treatment,” Bigner says.

Bigner and colleagues plan to study the effects of combining the poliovirus treatment with other drugs, such as checkpoint inhibitors, which may further boost the immune response against the brain tumors.

There have been a few other studies using different viruses to target glioblastoma in recent years. These approaches have also benefitted small numbers of patients, says neurosurgical oncologist E. Antonio Chiocca of Brigham and Women’s Hospital in Boston, who was not involved in the new research.

“We must be optimistic, but with caution,” Chiocca says. “The history of glioblastoma treatments is littered with lots of early clinical trials that appear to show very promising and encouraging results,” which did not prove to be meaningful in later trials.

Aimee Cunningham is the biomedical writer. She has a master’s degree in science journalism from New York University.