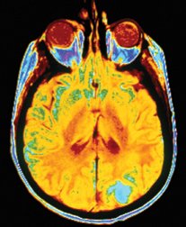
News Humans Nobel prizes go to scientists harnessing odd phenomena Superconductivity, superfluidity, imaging with magnetism, and membrane chemistry By Nathan Seppa, Peter Weiss and Kate Ramsayer October 8, 2003 at 12:07 pm - More than 2 years ago Share this:Share Share via email (Opens in new window) Email Click to share on Facebook (Opens in new window) Facebook Click to share on Reddit (Opens in new window) Reddit Click to share on X (Opens in new window) X Click to print (Opens in new window) Print The 2003 Nobel prizes in the sciences were announced early this week. A PEEK INSIDE. Magnetic resonance imaging scans, such as this one of the brain, can help physicians diagnose cancer.