Newly identified stem cells can lure breast cancer to the spine

Stem cells in the vertebrae secrete a protein that acts as a tumor attractor

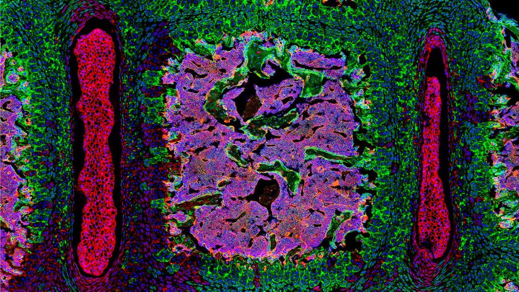
An image of newly discovered stem cells shown in green.

Scientists have discovered a new type of stem cell that forms spinal tissue (in mice, these stem cells and the cells they produce are shown in green).

J. Sun et al./Nature 2023

When breast cancer spreads, it often targets the spine.