Molecule boosts numbers of stem cells in umbilical cord blood

Advance means more transplant options could open up for cancer patients

stem cells

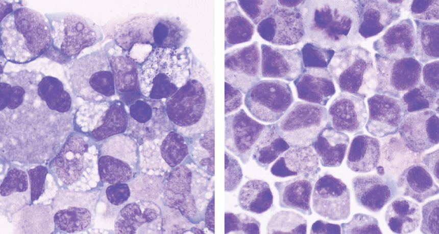
READY FOR ACTION  The molecule UM171 can increase the number of stem cells from stored umbilical cord blood, a new study shows. Stem cells extracted from cord blood and not treated with UM171 (left) appeared less robust than similar cells treated with UM171. 

Institute for Research in Immunology and Cancer

A newly created molecule multiplies stem cells in umbilical cord blood, researchers report in the September 19 Science.