Whether you’re rocking out to Britney Spears or soaking up Beethoven’s classics, you may be enjoying music because it stimulates a guessing game in your brain.
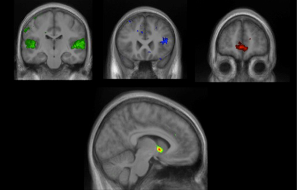
SOUNDS GOOD Listening to new music sparks activity in brain regions that analyze sound (green), recognize patterns (blue), process emotions (red), and determine rewards (rainbow, at bottom).
Log in
Subscribers, enter your e-mail address for full access to the Science News archives and digital editions.