Malnutrition’s effects on the body don’t end when food arrives
Inflammation and gut problems can torment survivors. New treatments may repair some damage
If children survive malnutrition, they may face a lifetime of health problems. In Rafah in the southern part of the Gaza Strip, where these children wait for food on February 19, 2024, about 10 percent of kids 2 and younger are malnourished, according to a March report from UNICEF.
MOHAMMED ABED/AFP via Getty Images
Denise Potvin, a nurse currently working in Rafah, a city in the south of Gaza, has been seeing something new recently: Malnutrition among young children. Before the current Israel-Hamas war, “this was not something that would have [been] treated,” Potvin says. “Now we are seeing cases.”
As of May 18, 31 people, including at least 28 children, have died of malnutrition. In southern Gaza, up to 9 percent of children under 5 are malnourished, according to the World Health Organization. In northern Gaza, the fraction is greater — up to a quarter of children are malnourished and up to 4 percent are severely malnourished, an earlier agency report estimated. The Integrated Food Security Phase Classification partnership warned in a report in March that famine is imminent in the northern part of Gaza, and the rest of Gaza is also at risk.
The children of Gaza are not alone. Kids in Afghanistan, Sudan, Nigeria, Yemen, Haiti, Pakistan, the Democratic Republic of Congo and other countries are experiencing malnutrition as a result of conflict, poverty, natural disasters and other factors that leave them suddenly without food (SN: 1/8/20). Those abrupt disruptions can lead to acute malnutrition and wasting, and — if the situation becomes prolonged — chronic malnutrition, stunting and sometimes death.
Last year, an estimated 36.4 million children worldwide were acutely malnourished, with 9.8 million of them suffering severe malnutrition, according to the Food Security Information Network. The WHO estimates that in 2022, about 149 million children had stunting (they’re too short for their age) and 45 million had wasting (too thin for their height), with more than 13 million with severe wasting. Those numbers don’t include kids who are moderately malnourished. Nearly half of deaths of children under 5, especially of children in low- and middle-income countries, are caused by undernutrition, the WHO says.
Even for the children who get treatment, malnutrition can lead to a lifetime of consequences. Those include a high chance of dying in the year after recovery, stunted growth and a reduced ability to achieve their full intellectual capacity, even as adults.
Malnutrition weakens the immune system
A body suffering from malnutrition must expend energy on essentials like keeping the heart and lungs functioning — and to do so, it will cut back in other important areas, says Indi Trehan, a pediatrician at the University of Washington in Seattle. “Some of the things that it’s not going to spend its energy on very much is growing taller, which is part of the jobs of kids’ bodies,” he says. “It’s not going to spend a lot of energy on developing neurons and brain connections,” healing cuts and scrapes, or keeping up body temperature.
One of the most serious cutbacks is in the immune system, Trehan says. “The immune system sort of falls apart,” leaving malnourished people susceptible to dying from infections that well-nourished people can more easily get over.
For instance, in a review of studies of malnutrition, researchers found that kids who were moderately underweight for their age were twice as likely to die of pneumonia compared with children at healthy weight. Similarly, malnourished children with HIV are four times more likely to die than malnourished HIV-negative children, another study found.
What is malnutrition?

The severity of malnutrition is gauged by measuring children’s height, weight and mid-upper arm circumference to determine how far off from average they are for their age or height, as this Doctors Without Borders worker is doing at a refugee camp in Adre, Chad, for people fleeing the ongoing civil war in Sudan. Malnourished children may have stunting (they’re too short for their age), wasting (too thin for their height), or both.
Kids with moderate malnutrition fall two to three standard deviations under the average weight-for-height score, while children with severe malnutrition fall more than three standard deviations below average. Children with severe acute malnutrition might also have swelling in the hands and feet known as nutritional edema or kwashiorkor and may be so sick they are unable to eat.
In Rafah, Potvin, who works with the international medical humanitarian organization Doctors Without Borders, also known by its French abbreviation MSF, is watching the reinforcing dynamic between malnutrition and the immune system play out.
“You see everybody living in tents, overcrowded situations, situations with lack of access to proper water and hygiene and sanitation,” she says. Those conditions can increase the risk of malnourished children catching infectious diseases that can, in turn, make malnutrition worse. In the MSF clinics in Rafah, “we’re seeing a lot of respiratory tract infections, diarrheal illnesses and different skin conditions,” Potvin says.
Even after treatment, formerly malnourished children can die
Fixing malnutrition isn’t as simple as giving a child food. Globally, only 3 percent of children with severe acute malnutrition get life-saving treatment, MSF estimates. About 1 of every 5 children hospitalized for severe malnutrition will die before being discharged, says Gerard Bryan Gonzales, a public health nutritionist at Ghent University in Belgium.
Even after going home children are prone to dying. A 2018 review of multiple studies published in PLOS One found that up to 10 percent of severely malnourished children die in the year after leaving the hospital. Extrapolated to a global level that could mean hundreds of thousands to millions of severely malnourished children dying even after getting treatment for malnutrition. The true figure may be even higher, because up to 45 percent of kids dropped out of the study so their fates couldn’t be determined, researchers reported.
In a study of severely malnourished children in Kenya, Gonzales and colleagues found that about 10 percent of kids, 177 out of 1,704, landed back in the hospital again after being discharged.
It’s unclear why so many children die after being treated for malnutrition, says James Njunge, a biochemist at the KEMRI-Wellcome Trust Research Programme in Kilifi, Kenya. What is known is that by the time children are malnourished, a complex cascade has started in their bodies that may not be completely reversible.
Njunge and his colleagues are studying the blood and waste of children who died from severe malnutrition after leaving the hospitals in multiple countries. The team hopes to learn whether certain proteins, hormones, nutrients, gut microbes or other factors can explain the children’s deaths.
Both inflammation and damaged metabolism were associated with death in severely malnourished children in Kenya and Malawi, Njunge and colleagues reported in Science Advances in 2022. But there’s another conflicting factor. Some families may take their children home before they’re fully recovered, against medical advice, Njunge says, because the parents need to care for other children or return to work.
Inflammation persists long after recovery
Even when kids do recover and have caught up with their peers for weight, bouts of malnutrition can cause internal damage that may linger for years. Recent work suggests that some malnourished children have “very, very aggressive” inflammation against either active infections or bits of bacteria that may leak out of their guts, Njunge says.
“The inflammatory response is supposed to be a good thing to protect you from these pathogens,” he says, but when it is too strong, it can damage tissues and organs. In addition, inflammation can impair how the body absorbs and uses nutrients, he says. “All those factors can lead to organ damage and that’s what eventually leads to mortality.”
Compared with well-nourished children in their communities, 264 severely malnourished children in Zimbabwe and Zambia still had signs of high inflammation in their blood a year after being released from the hospital, Jonathan Sturgeon, a pediatrician at Queen Mary University of London, and his colleagues reported February 28 in Science Translational Medicine. “The fact that [inflammation] continued for at least a year after discharge was quite a surprise,” Sturgeon says.
And the inflammation isn’t just in the children’s blood. It’s also apparent in their guts, Sturgeon says. Usually, people’s intestinal walls have tiny, finger-like structures called villi. These little fingers increase the amount of surface area that can absorb nutrients. But in children with severe malnutrition, the villi “become quite blunted, quite flat, quite thin, quite friable,” Sturgeon says. Those changes “mirror some of the inflammatory bowel changes you see in children from the West with inflammatory bowel disease.”
That type of change to the villi could mean even after malnourishment ends, children may have lingering trouble absorbing nutrients that their bodies need to grow and develop properly, perhaps setting them up for a lifetime of health problems.
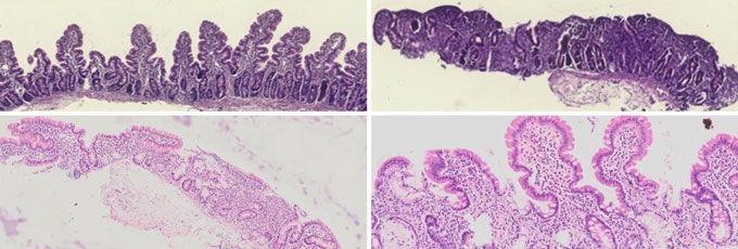
What malnutrition does to the gut
Malnutrition blunts the growth of finger-like extensions called villi (upper left) that help absorb nutrients in the intestines. In some children with severe malnutrition, the villi are nearly absent (upper right) even after standard therapy (lower left). But adding a compound called teduglutide to therapeutic food may help restore growth of the structures (bottom right).

Sturgeon and colleagues have been testing drugs that may repair the gut lining in malnourished children. The team found that a molecule called teduglutide reduced markers of inflammation in children being treated for severe malnutrition in Zambia and Zimbabwe. The compound, which is used to treat short bowel syndrome, also restored growth of villi, the researchers reported April 17 in Nature Communications.
New treatments are being developed for malnutrition
Other researchers are also developing new treatments to help children with the lasting consequences of malnutrition.
For example, children with malnutrition often have underdeveloped gut microbiomes, says Jeffrey Gordon, a microbiome researcher at Washington University School of Medicine in St. Louis (SN: 2/18/16). In most children, the rise and fall of certain types of gut bacteria follows a predictable pattern. But that pattern is disturbed in kids with malnutrition. In those kids, “there are features of the microbial community that appear younger or more immature than you would expect based on the chronological age,” Gordon says.
Those disturbances can affect development of children’s guts and immune systems, perhaps causing kids to have lasting digestive issues and immune system problems, he says.
Gordon and his colleagues developed a therapeutic food that fosters gut microbe growth (SN: 6/7/21). It is a mix of chickpea and soybean flours, peanut paste and mashed green banana. The researchers tested the microbe-fostering food against a standard therapeutic food composed of rice, lentil and milk powder, and found that it helped children gain weight faster even though the experimental food has fewer calories, Gordon’s team reported in the New England Journal of Medicine in 2021.
The reason why the babies gained weight is because of two strains of Prevotella copri bacteria, which broke down molecules in the microbe-nourishing food, the researchers reported March 19 in Nature Microbiology. Knowing how microbes and specific molecules within the foods work together may help the researchers design even better therapeutic foods to treat or even prevent malnutrition in the future, Gordon says.
Malnutrition can follow children into adulthood
Because so many children die from malnutrition, few studies have been able to determine the longer-term consequences of childhood starvation on adults. What researchers do know is that severe malnutrition or exposure to famine in childhood is associated with an increased risk of high blood pressure, cardiovascular disease, and metabolic problems such as diabetes, Ghent University’s Gonzales and his colleagues reported in BMJ Global Health in 2021.
Part of the problem may be the high fat content of the diets that are traditionally used to treat malnutrition, Gonzales says. “It might stress the system too much [so] that the body has this long-term persistent dysregulation,” he says. Right now, treatment strategies are focused on keeping children from dying in the next year. “We’re trying ways now to really study whether we are giving children what they really need,” Gonzales says. “Are we treating them in a way that they don’t only survive, but they are also thriving?”
It’s a time-sensitive question, Trehan says. If young children don’t get proper nutrition while their brains are developing, “you’re not going to catch up no matter how good your schools and your rehab and things like that are after the fact.”
People who survive severe malnutrition in childhood may be a bit shorter than if they’d gotten enough food to grow to their genetic potential, Trehan says. That’s probably not a big deal. “We’re not trying to grow an army of basketball players,” he says. But stunting can also be an indicator of missed intellectual development (SN: 3/21/13). “We want an army of smart kids who can then do good in school and then get good jobs and then help their societies develop.” With malnutrition, “you’re really hitting a population for the long-term.”
People who had been severely malnourished as children in Congo were less likely as adults to report doing well in school, had less education and lower self-esteem than peers in their communities who were never malnourished, researchers reported in 2020 in PLOS One.
And it’s not just the people who suffered food shortages that pay the price, Gonzales says. When chronic adult health problems arise in formerly malnourished people, health systems around the world are stressed. Many people who survived malnutrition in low- or middle-income countries have since moved to wealthier nations where they may add to the disease burden, he says. “It is a global problem that requires global solutions.”