A malaria vaccine with live parasites shows promise in a small trial

Next steps include figuring out whether the results hold up in larger trials

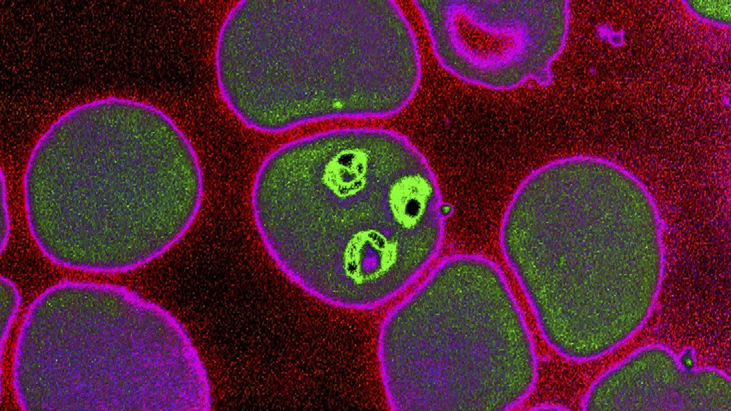
microscope image of Plasmodium falciparum parasites

A malaria vaccine that combines a shot of live Plasmodium falciparum parasites that cause the disease with a dose of drugs to curb the infection has shown promise in a small trial. The parasite (shown in bright green) gets its start in the liver and then spreads to the blood.

James Cavallini/ BSIP SA / Alamy Stock Photo

In a one-two punch, a malaria vaccine in development pairs a shot of the live parasite that causes the disease with a whammy of infection-fighting drugs to immediately quell it.