Malaria parasites may have their own circadian rhythms

Plasmodium pathogens don’t depend on a host’s biological clock, studies suggest

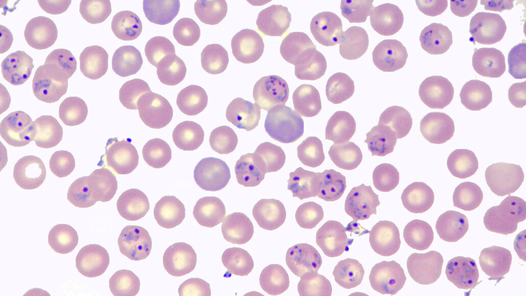
Malaria parasites

Malaria parasites (purple) infect hosts’ red blood cells (pink, with mouse cells shown). Scientists have now discovered that these parasites have an internal circadian clock, which could help explain why hosts experience rhythmic fevers.

Joseph Takahashi Lab/UT Southwestern Medical Center/HHMI

The parasites that cause malaria may march to the beat of their own drum.