Instead of starving a cancer, researchers go after its defenses
Oxygen deprivation can propel tumor growth and spread
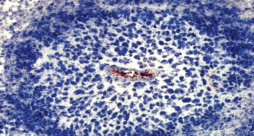
OXYGEN DEPRIVATION Cancer cells (shown in blue) surround a blood vessel (red) in a mouse tumor. Cells on the tumor’s edge are dying, starved of oxygen. But treatments to starve tumors have come up short.
C. Michiels, C. Tellier and O. Feron/Biochimica et Biophysica Acta 2016
Like many living things, a cancer cell cannot survive without oxygen. When young and tiny, a malignancy nestles inside a bed of blood vessels that keep it fed. As the mass grows, however, its demand for oxygen outpaces supply. Pockets within the tumor become deprived and send emergency signals for new vessel growth, a process called angiogenesis. In the 1990s, a popular cancer-fighting theory proposed interfering with angiogenesis to starve tumors to death. One magazine writer in 2000 called the strategy “the most important single insight about cancer of the past 50 years.” It made such intuitive sense.
Rakesh Jain viewed angiogenesis through a different lens. Trained as an engineer, not a biologist, Jain was studying tumor vasculature during the height of excitement about drugs that could impede vessel growth. He was bothered by the fact that capillaries that arise in the tumor aren’t normal; they’re gnarled and porous, incapable of effective blood flow in the same way a leaky pipe is lousy at delivering water. The expanding tumor squeezes smaller vessels, making them even less able to transport blood.
Story continues below image
“The mantra was, ‘Let’s starve tumors,’ ” recalls Jain, director of the Edwin L. Steele Laboratories for Tumor Biology at Harvard Medical School. “I said, ‘No, we need to do the opposite.’ ” In 2001, he published a commentary in Nature Medicine predicting that angiogenesis inhibitors would not entirely shrivel the tumor. Instead, he argued, starving tumors might make them harder to treat. “I was sticking my neck out and saying this is not a good thing to do,” he says. “I had tremendous resistance.”
Time has proved him right. Once they came on the market, anti-angiogenesis drugs were not the boon doctors had hoped for. Most disturbing, some patients saw their tumors shrink, only to have the disease return with renewed vengeance.
Today, more than a decade after the introduction of the first tumor-starving drug, researchers have a far greater understanding of the role of oxygen deprivation in cancer. Instead of slowing tumors, hypoxia appears to trigger a metabolic panic that can drive growth, drug resistance and metastasis. Rescue proteins called hypoxia-inducible factors, or HIFs, open a bag of tricks so tumors can adapt and outrun the body’s defenses.
But there’s now reason for hope: Recent insights into the effects of oxygen deprivation in cancer are sparking new ideas and providing the blueprint for treatments that could short-circuit a cancer’s ability to survive and spread, and help make existing drugs more effective.
Hypoxia hysteria
While the idea of starving cancer made sense, the approach may have underestimated the strength and complexity of a tumor’s resilience. Since oxygen is essential for so much of life, nature equips cells with elaborate safeguards that kick in when the oxygen-rich blood supply dwindles — whether the cells are part of a tumor or part of a muscle straining for one last push of strength. When oxygen levels drop, newly minted proteins stampede throughout the cell, turning on a frenzy of chemical reactions that offer protection from the crisis.

Cancer cells distort this natural coping mechanism for their own means. Growing new vessels is just one move in an elaborate strategy. Many changes accompany hypoxia, including: The malignant cells loosen from each other and become less adhesive, ready to break free; tendrils of collagen, a natural binding substance, form and start to reach out to nearby vessels; and proteins appear on the cell surface to pump out lactic acid, a product of the tumor’s switch from primarily aerobic to anaerobic respiration. Researchers now think stopping enough of these and other changes could cripple the cancer. Much of the research focuses on the proteins that are among the first to deploy when a cell senses a danger of asphyxiation.
“At zero oxygen, the cell can’t survive,” says Daniele Gilkes of Johns Hopkins University School of Medicine. “Inside a tumor you will see these regions of necrosis,” or dead cells. But those cells that are low on oxygen but still alive will produce new proteins: Key among them are HIF-1 and HIF-2. Both are transcription factors — they help transcribe DNA instructions into RNA. Under normal conditions, the genes that make HIF proteins are mostly silent. Once HIF proteins are made, they turn on genes — Gilkes estimates there are hundreds — that enable cells to live when oxygen concentrations are low.
Collagen highways
ON THE MOVE This time lapse video taken over 16 hours shows cancer cells migrating out of breast tumors on thick collagen fibers. Danielle Gilkes/Johns Hopkins Univ. |
Gilkes’ target of choice is HIF-1. It is not only a first responder, but the protein also appears to be key to cancer’s spread. Tumors with high levels of HIF-1, particularly when concentrated at the invasive outer edge of the mass, are more likely to become metastatic, invading other parts of the body. The reverse is also true: Human tumors transplanted into mice that genetically can’t produce HIF-1 are less likely to spread. The reasons are complicated, Gilkes says, but she considers one thing really interesting: HIF-1 is involved with a lot of enzymes in collagen formation.
The collagen appears to provide a means of escape. Last year, in a review in the International Journal of Molecular Sciences, Gilkes described genes, found by her lab group and others, that breast tumors activate to degrade the surrounding environment. In turn, the tumor wraps itself in a stringy web of collagen. As the collagen forms, the strands stretch outward from the tumor and latch onto nearby vessels. “We think cancer cells will find this collagen and use it to migrate and glide.” She calls them “collagen highways.” Her laboratory captured video of human tumor cells migrating along a fibrous strand. “To see them move is really scary.”
Once they’ve broken from their home tumor, many types of cancer, including prostate and breast cancers, commonly move into bones. This is no coincidence, Gilkes says. Bones lack the dense thickets of blood vessels that run through soft tissues. That means cancer cells migrating from a hypoxic environment, and therefore already trained for low oxygen, would find hospitable surroundings in the bone. Her lab group is now looking for ways to block collagen formation to close the travel lanes and perhaps keep the cancer from spreading. She and others are also working to find a way to inhibit HIF-1 directly, but so far those efforts have proved challenging.
Story continues below image
HIF-1’s accomplice, HIF-2, may be a more available target. HIF-2 is a molecule made of two parts that clamp onto DNA to trigger production of other proteins that make tumors tougher to kill. In 2009, structural biologists at University of Texas Southwestern Medical Center in Dallas discovered that the HIF-2 protein had a large cavity. “Usually proteins don’t have holes inside them,” says James Brugarolas, leader of UT Southwestern’s kidney cancer program. With the discovery, researchers began working on a way to use the gap as a foothold for drugs.
Now in development, the experimental drug PT2399 slips inside HIF-2 and effectively breaks the molecule in two. Brugarolas and colleagues from six other institutions and the biotech company Peloton Therapeutics Inc. in Dallas published results of the first animal tests of the compound in Nature in November. In mice with implanted grafts of human kidney tumors, PT2399 split HIF-2 and slowed growth in 56 percent of tumors — better than a standard treatment. Brugarolas hypothesizes that the drug worked only about half the time because the other half of tumors relied more heavily on HIF-1.
A similar HIF-2–busting drug is now in Phase I safety testing in humans, described in June in Chicago at the annual meeting of the American Society of Clinical Oncology. While Phase I studies are not designed to test whether the treatment works, the drug showed few side effects among 51 people with advanced kidney cancer who took the drug at ever-increasing doses. The patients had already been through multiple types of treatments, one as many as seven. After taking the drug, 16 patients experienced a slowing in disease progression, three more had a partial response and one a complete reversal. Given the dearth of treatments for advanced kidney cancer, Brugarolas says, “this is a big deal.”
Story continues below graph
Low blows
Still more molecules throw a lifeline to hypoxic tumors in ways that scientists are just beginning to understand. In 2008, pathologist David Cheresh and colleagues at the University of California, San Diego announced a curious discovery in Nature: Depriving cells of vascular endothelial growth factor, or VEGF — the key protein responsible for new vessel growth in a tumor and the main target of drugs that block angiogenesis — could actually make tumors more aggressive.
His team went on to discover the same was true for another popular class of drugs, which work by depriving a tumor cell of nutrients in the same way anti-angiogenesis drugs limit oxygen. The drugs, called EGFR inhibitors, were capable of doing the opposite of what was expected: They could make tumors stronger.
Cheresh believes that hypoxia — and other stresses of low blood supply, like nutrient deprivation — inflict a wound on the tumor. When normal tissues sustain an injury (like a cut), they immediately enter a period of healing and regeneration. The bleeding stops and the skin grows back. Low oxygen delivers a blow to tumor cells, sending them into a similar state of rejuvenation, he says. “They’re now prepared to survive not only the hypoxia, but everything else thrown at it.”
In 2014, Cheresh published his take on why this occurs, at least in some cases, in Nature Cell Biology. He and his team described a molecule called avb3 found on the surface of drug-resistant tumors that appears to reprogram tumor cells into a stem cell–like state. As embers of the original tumor that are often impermeable to treatment, these stem cell–like cells can lie quietly for a time and then reignite. The discovery of avb3 has redefined how Cheresh thinks about resistance. He no longer believes that tumors defy chemotherapy in the way bacteria overcome antibiotics, with only the strongest cells surviving and then roaring back to become dominant.
“The tumor cells are adapting, changing in real time,” Cheresh says. In short, his data suggest that when EGFR inhibitors deprive a cell of nutrients, some cells survive not because they are naturally tougher, but because the appearance of avb3 transforms them into drug-resistant stem cells. The good news is that laboratory tests suggest an experimental drug might block this reprogramming, and it may even prevent chemotherapy resistance. A clinical trial will soon begin that combines usual cancer treatment with this avb3-disabling drug, in a one-two punch aimed at reversing or delaying resistance so the treatment can do its job.
There are still more ways tumors withstand low oxygen. They start eating leftovers. HIF-1 triggers a switch from oxygen-based aerobic respiration to anaerobic respiration using pyruvate, a product of glucose breaking down. The strategy works in the short term; it’s the reason your muscles keep pumping for a time, even when you’re gasping for air on the last few yards of a sprint. Problem is, anaerobic respiration leaves a trail of lactic acid. A lot of it.
“Lactic acid buildup leads to a precipitous drop in pH inside of the tumor,” says Shoukat Dedhar of the BC Cancer Research Centre in Vancouver. To compensate, HIF-1 deploys a fleet of proteins that remove the acid so it won’t accumulate and burn up the cell.
Dedhar’s laboratory didn’t start out studying hypoxia. “We had tumors that were readily metastatic and genetically related tumors that couldn’t metastasize,” he says. Those tumors that easily spread were producing HIF-1, along with products from other genes. Searching for the functions of those genes, his group and others found two proteins important in pH balance. The first, MCT-4, acts like a molecular sump pump, bailing out lactic acid. But it’s not enough to normalize the pH, Dedhar says.
That job goes to the second protein, carbonic anhydrase 9, or CAIX. “Its job is simply to convert carbon dioxide to bicarbonate, which then neutralizes the acid,” he says. In March 2016, in a review in Frontiers in Cell and Developmental Biology, Dedhar and colleagues described how to improve cancer treatment by taking away some of the tools for hypoxia survival — that is, keeping the cell from neutralizing acid — while simultaneously giving drugs that boost the immune system. His team has developed new compounds that specifically block CAIX. Since CAIX is almost exclusively produced in tumor cells, CAIX inhibitors should theoretically have few side effects. A Phase I safety trial is testing possible drugs now.
Open to destruction
Harvard’s Jain is still making the case for bathing the tumors in oxygen, giving them more blood, not less. This could keep the tumor from becoming hypoxic and throwing up a new series of defenses, including a flood of angiogenesis-promoting proteins, which produce tormented circulation. When he proposed that concept in 2001, “I thought abnormal vessels were bad,” he says. “I now think they are worse.”
His idea is to make tumor vasculature more normal, using the very drugs that he was concerned about almost two decades ago. His research suggests that giving anti-angiogenesis drugs in modest doses will keep the vessels from becoming abnormal, making them less tortured and more capable of normal blood flow (SN: 10/5/13, p. 20). He believes the restored oxygen not only shuts down the hypoxic response that gives the cancer a survival advantage, but also serves as a conduit for chemotherapy drugs and immune cells to penetrate deeper into the tumor. Oxygen is also necessary for radiation to work.
His latest experiments take the concept of more oxygen, not less, even further. He combined two chemotherapy drugs with losartan, a generic medicine used to control blood pressure. The result, reported in Nature Communications in 2013, was a delay in pancreatic and breast tumor growth in mice. Another experiment from Jain and colleagues, published in 2016 in Translational Oncology, had similar results.
“We are finding every therapy works better when we do this,” he says. A clinical trial is now under way at Massachusetts General Hospital testing whether giving losartan during radiation and chemotherapy will improve results for pancreatic cancer patients.
The concept still remains unproven, but Jain has reason for optimism. And he is no longer in the scientific minority. Last May, he received the National Medal of Science from President Barack Obama, who commended Jain for “groundbreaking discoveries of principles leading to the development and novel use of drugs for treatment of cancer.” Jain hopes to see the day, not long in the future, when hypoxic tumors are defeated by giving them the very thing they need the most.
This article appears in the March 4, 2017, issue of Science News with the headline, “Deflating cancer: New approaches to low oxygen may thwart tumors.”

