In a first, human embryos edited to explore gene function

CRISPR/Cas9 is used to ‘knock out’ a gene needed to develop properly

human blastocysts

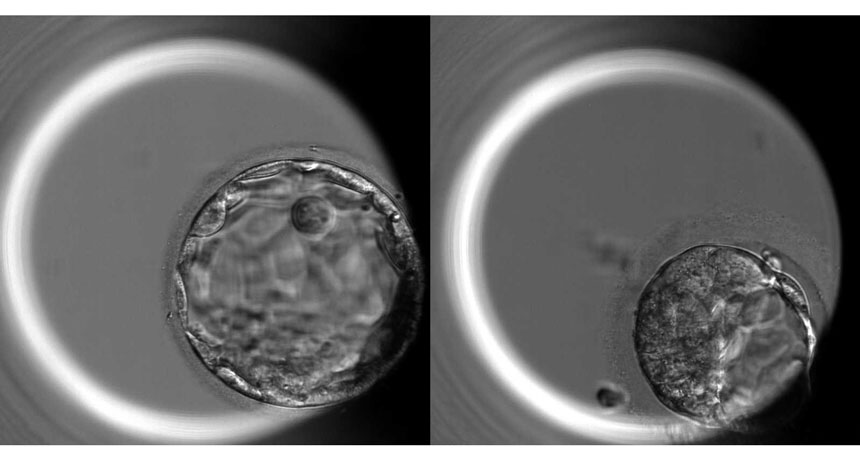
EMBRYO, INTERRUPTED  A 5-day-old human embryo is usually composed of about 200 cells in a hollow ball configuration called a blastocyst (left). Embryos edited to remove the OCT4 gene (right) fail to make normal blastocysts.

K. Niakan/Nature 2017

For the first time, researchers have disabled a gene in human embryos to learn about its function.