Faulty brain wiring may contribute to dyslexia

Adults with the disorder showed difficulty transmitting information among areas that process language

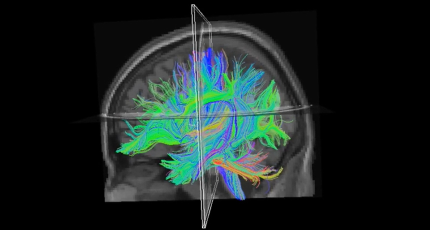
MISSING LINKS  Connections between language-processing regions of the brain (shown here as colored links in a diffusion tensor image) may be broken in people with dyslexia, new research finds. 

Courtesy of KU Leuven

Hampered connections between brain regions that decipher spoken sounds may partly explain why people with dyslexia have trouble reading and spelling, researchers report in the Dec. 6 Science. Both activities require the ability to translate the sounds of language into meaning, which is an obstacle for people with dyslexia.

The new results provide some of the first support for an underdog hypothesis that broken bridges in the brain thwart these mental interpretations of sound information. Neuroscientists have traditionally held — and previous data have supported — the competing hypothesis that the learning disability arises from trouble properly distinguishing the sounds of language before they’re interpreted by the brain.

In the study, Bart Boets of Katholieke Universiteit Leuven in Belgium and colleagues investigated brain activity using functional magnetic resonance imaging. The researchers compared patterns of brain activity in 23 adults with dyslexia with those of 22 adults without the disorder after both groups listened to fragments of words.

The two groups had similar activity in the speech-processing regions of their brains, suggesting that adults with dyslexia can distinguish the sounds of speech just as well, if not better, than adults without the disorder.

But those with the disorder had more trouble transmitting the sound’s representation to other parts of the brain that decipher meaning in language. The authors also calculated that those disconnections account for 35 percent of reading and spelling difficulty seen in the group with dyslexia.

The new evidence that connectivity plays a role in dyslexia is important, says neuroscientist Daniel Brandeis of the University of Zurich. But it also means that less than half of the observed differences in reading and spelling are explained by this connectivity, he says. Brandeis also cautions that the authors did not specifically study brain activity while people were reading and spelling, which are the troubled skills that define dyslexia.

Franck Ramus of École Normale Supérieure in Paris, who in 2008 first suggested that people with dyslexia have some poor brain connectivity, agrees that the finding is important but inconclusive: “This study will not put an end to this debate, but it is the best piece of evidence in five years.”