Electrode turns consciousness on and off

Woman lost awareness, though appeared awake, when her brain was stimulated

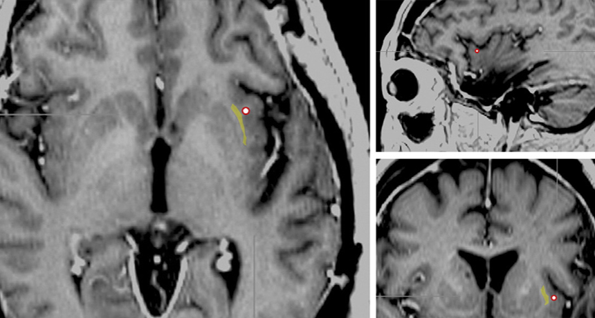
brain scans of epileptic woman

OFF SWITCH  An electrode (red circle) used to stimulate a brain site near an epileptic woman’s claustrum (highlighted in yellow) appears on these brain scans. When the electrode was turned on, she appeared to lose consciousness.

M. Koubeissi et al/Epilepsy & Behavior 2014

With a zap from a single brain electrode, doctors were able to wipe out a woman’s consciousness.