Cases of the new coronavirus hint at the disease’s severity, symptoms and spread

Most cases are mild but older patients with health problems can face severe complications

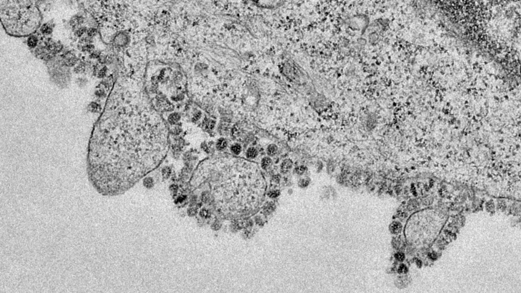
electron micrograph of the new coronavirus, nCov-2019

An infected cell can produce thousands of infectious virus particles (black dots) that are then released from the cell surface, as shown in this electron micrograph of the new coronavirus, nCov-2019. 

John Nicholls, Leo Poon and Malik Peiris/The University of Hong Kong

As the novel coronavirus continues to spread in China and around the world, experts are getting a better handle on the severity of the disease, how it progresses in patients and just how easily it can spread in enclosed places, such as hospitals.

As of February 7, the virus has killed 637 people and infected 31,211 more in China, according to the World Health Organization. An additional death, and 270 more cases, have been reported in 24 other countries. More detailed data on about 17,000 cases show that 82 percent are mild, 15 percent are severe and 3 percent are critical, the WHO reported in a news conference February 7.

Overall, the WHO says less than 2 percent of patients who have fallen ill with 2019-nCoV have died, most often from multi-organ failure in older people and those with underlying health conditions. 

For instance, of 138 patients infected with coronavirus and admitted to Zhongnan Hospital of Wuhan University in January, 26 percent ended up needing treatment in the intensive care unit, researchers report February 7 in JAMA. Those patients were older and had other health conditions, such as high blood pressure, cardiovascular disease and diabetes. They suffered complications from the coronavirus pneumonia, including shock and acute respiratory distress syndrome, a condition in which fluid builds up in the lungs, leading to severe shortness of breath.

These cases are part of the largest study yet of people hospitalized with the novel coronavirus, and provide a more detailed look at the symptoms and severity of the disease.

The new study suggests that the virus spread quickly at the hospital. Of the 138 patients tracked at Zhonghan, 57, or 41 percent, appear to have been infected at the hospital. They include 40 health care workers and 17 patients already admitted for other conditions. 

Sign up for our newsletter

We summarize the week's scientific breakthroughs every Thursday.

The patients hospitalized with 2019-nCoV pneumonia experienced a range of symptoms, researchers report. All but two had a fever, 70 percent felt fatigued, 60 percent had a dry cough, 35 percent experienced muscle pain and 31 percent found it difficult to breathe. Smaller numbers of patients described headaches, dizziness, nausea, diarrhea, vomiting and abdominal pain. Ten percent of patients had diarrhea and nausea a day or two before developing fever and shortness of breath. 

As gastrointestinal symptoms aren’t typical for a respiratory infection, patients with diarrhea and nausea may not have been suspected of having coronavirus, says Aubree Gordon, an epidemiologist at the University of Michigan in Ann Arbor who was not involved in the study. Those patients may not have been handled with the proper measures to contain the spread. That could explain why so many health care workers got sick. “People need to be aware of the atypical presentations and on the lookout for them,” she says. 

The patients in the new study were admitted to the hospital from January 1 to 28, and ranged in age from 22 to 92, with most 42 to 68 years old. Six of the 138 patients, or 4 percent, have died so far, a slightly higher percentage than the WHO has reported. 

Aimee Cunningham is the biomedical writer. She has a master’s degree in science journalism from New York University.

Jonathan Lambert is a former staff writer for biological sciences, covering everything from the origin of species to microbial ecology. He has a master’s degree in evolutionary biology from Cornell University.