Body attacks lab-made stem cells

In mice, the immune system targets and destroys reprogrammed adult skin cells

Stem cells created in the lab by reprogramming adult cells from a patient’s own body can come under attack from the immune system, a new study in mice suggests.

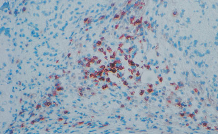
EARLY REJECTION T cells (brown) creep into tissues generated by reprogrammed stem cells (blue).