Alzheimer’s targets brain cells that help people stay awake

The new finding could fundamentally refocus dementia research

nerve cells

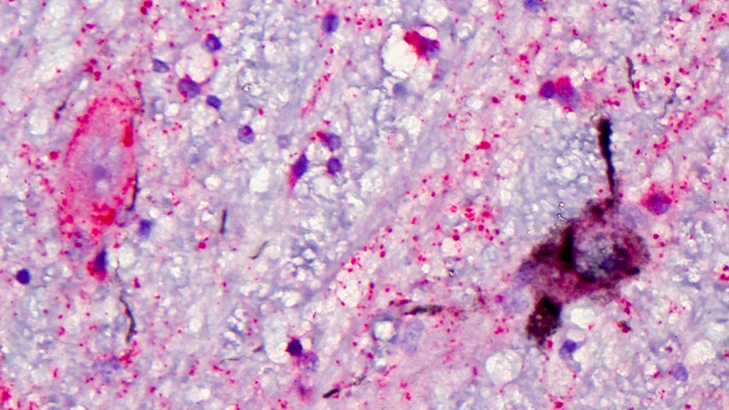
SLEEPY TIME In part of a human brain stem, a healthy nerve cell (red, left) releases a chemical messenger involved in wakefulness. Nearby, a nerve cell (brown, right) packed with tau, a protein tied to Alzheimer’s, is too damaged to work properly.

L. Grinberg

Alzheimer’s disease destroys command centers in the brain that keep people awake. That finding could explain why the disease often brings daytime drowsiness.

Sleep problems can precede dementias, including Alzheimer’s, sometimes by decades. But the new result, described online August 12 in Alzheimer’s & Dementia, suggests that disordered sleeping isn’t just an early harbinger of Alzheimer’s. Instead, sleep trouble is “part of the disease,” says Lea Grinberg, a neuropathologist at the University of California, San Francisco.

Grinberg and colleagues focused on the brain stem and a structure perched above it called the hypothalamus. Together, these parts of the nervous system oversee crucial jobs such as keeping people awake and paying attention. Though important, the brain stem and its neighbors have been largely overlooked in studies of dementia, Grinberg says. In particular, the researchers searched for evidence of tau, a protein that can form tangles inside nerve cells, in postmortem brains of people who died with Alzheimer’s disease.

Three small regions of the hypothalamus and brain stem, all of which usually contain nerve cells that keep people awake during the day, were packed with tau, the team found. And two of the three areas had lost over 70 percent of their nerve cells, or neurons. These areas “are hit hard, and they are hit by tau,” Grinberg says. That destruction could be part of the reason people with Alzheimer’s disease often feel tired during the day, even if they slept the night before. 

Those results add credence to an idea that’s been circulating among Alzheimer’s researchers but hasn’t yet gained a lot of traction, says neuroscientist Bryce Mander of the University of California, Irvine: “You see tau in the brain stem, and you see it really early.”

The findings may fundamentally refocus dementia research on sleep-wake centers in the brain stem. “We can’t continue to ignore the brain stem if we think about these dementias and how they progress,” Mander says. A clearer understanding of how, when and where Alzheimer’s first attacks the brain might lead to better ways to identify the disease early, and, ultimately, even stop the damage (SN: 3/12/11, p. 24).

In samples from healthy people, and those from people with two other degenerative brain disorders, these wake-inducing neurons survived, the researchers found. These brain diseases — progressive supranuclear palsy and corticobasal degeneration — both involve tau accumulation. But fewer neurons from people with those diseases died, despite being packed with tau, the researchers found. That unexpected finding “unveils a mystery,” Mander says. “Why are these neurons dying more in Alzheimer’s disease than in other diseases?”

The current study included samples only from people with late-stage Alzheimer’s. Grinberg is beginning a larger study of brain tissue from people at multiple stages of Alzheimer’s, in the hopes of spotting exactly when the neurons in these wake-promoting pockets start to deteriorate.

Laura Sanders is the neuroscience writer. She holds a Ph.D. in molecular biology from the University of Southern California.