AI could take medical imaging to the next level 

Artificial intelligence can help doctors spot disease, but it's not taking over medicine 

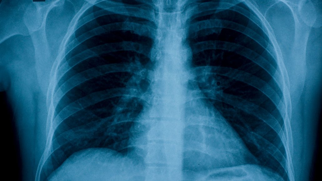
An X-ray image of the chest, shown in shades of white, blue and black. AI models can scan these medical images and reveal health information.

AI computer models can scan medical images like this chest X-ray and glean details about a person’s cardiovascular and metabolic health.

yumiyum/iStock/Getty Images Plus

When radiologist Pouneh Razavi reads a patient’s mammogram, she hunts for blips in the X-ray image that could indicate breast cancer.