50 years ago, scientists found a virus lurking in human cancer cells
Excerpt from the July 10, 1971 issue of Science News
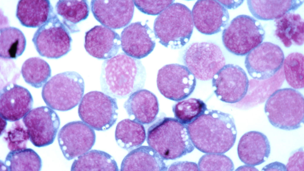
Epstein-Barr virus was the first virus linked to human cancers more than 50 years ago. Scientists have since discovered other cancer-causing viruses and have developed vaccines for several, but not for Epstein-Barr.
National Cancer Institute
