Psychologists have long noted that any of the sights, sounds, and other inputs that make up an experience can, if encountered again, ignite a memory of the event.
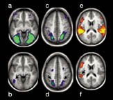
Images of brain show areas that become most active during perception of pictures (a and c, in green) and sounds (e, in yellow).
Log in
Subscribers, enter your e-mail address for full access to the Science News archives and digital editions.